开元集团交叉科学研究院刘三宏研究员与合作者共同发现一种可明显改善COVID-19重症患者血氧饱和度的方法
发布时间:2020.08.08点击:1415
近期,开元集团交叉科学研究院刘三宏研究员与首都医科大学附属北京世纪坛医院薛新颖主任、清华大学附属北京清华长庚医院重症医学科周华主任合作,在国际危重症学权威期刊《Intensive Care Medicine》共同发表“Efficacy of early prone position for COVID-19 patients with severe hypoxia: a single-center prospective cohort study”论文,研究发现实施俯卧位可明显改善COVID-19患者的血氧饱和度,提高COVID-19患者的生存率,为在有限条件下尽可能阻止重型向危重型转变提供了一个简易可行的方案。

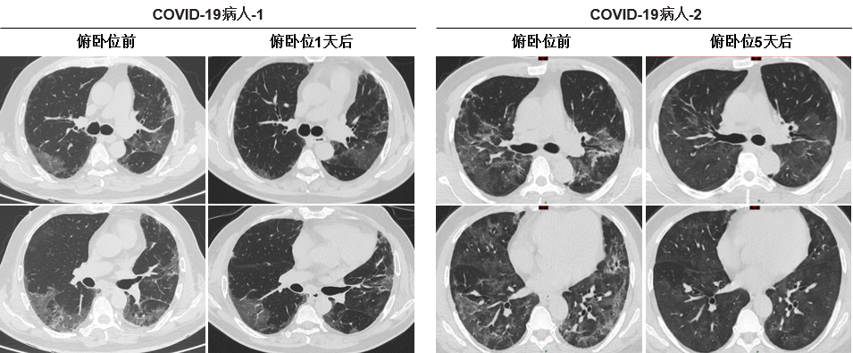
随着COVID-19的全球流行,截至2020年8月6日,共有19,093,957人感染,死亡713,408人,死亡率为3.7%。许多COVID-19患者因严重缺氧而死亡,找到一种简单有效的COVID-19患者治疗方法显得尤为重要。从2020年2月1日至2020年4月30日,共有60名COVID-19严重缺氧患者入组。23例患者采取早期俯卧位,37例患者未采取。在俯卧位组,30分钟后脉搏血氧饱和度(SpO2)从91.09±1.54%增加到95.48±1.73%(P <0.01)。呼吸频率(RR)从28.22±3.06次/分钟降至24.87±1.84次/分钟(P <0.01)。ROX指数从3.35±0.46增加到3.96±0.45(P <0.01)。然而,非俯卧位组的SpO2、RR和ROX指数没有显著差异。此外,早期俯卧位也可明显改善一些患者的CT成像表现。随访90天后,俯卧位组有10例(43.5%)COVID-19患者死亡,而非俯卧位组有28例(75.7%)COVID-19患者死亡。对于早期俯卧位改善缺氧的潜在机制,推测可能是由于血流重新分布引起的,水肿液在重力作用下重新分布到腹侧,萎缩性肺泡在俯卧位时重新开放,导致V/Q改进。总之,这项工作将有助于临床医生利用俯卧位治疗严重缺氧的COVID-19患者,降低严重缺氧的COVID-19患者的死亡率,对于COVID-19患者的治疗有一定的指导意义。

该研究中,首都医科大学附属北京世纪坛医院臧学峰博士、华中科技大学同济医学院协和医院王倩博士为并列第一作者。薛新颖、刘三宏、周华为共同通讯作者,开元集团为论文共同通讯单位。该项研究得到了国家自然科学基金、国家重点研发计划的支持。(科技处、交叉科学研究院)

